Fillers: Before & After Photos

Surgeries performed by Dr. Yoash Enzer in Providence, RI.
Fillers Fillers

Before

After

Fillers Fillers
View 1 of 4.5
Fillers Fillers
View 2 of 4.5
Fillers Fillers
View 3 of 4.5
Fillers Fillers
View 4 of 4.5

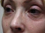
Procedure:
Correction of prior doctor’s lower eyelid filler.

This patient had fillers placed in her lower eyelids by another physician. This procedure is technically very challenging, and requires a great deal of expertise. Unfortunately, she was left with massive lumps under her eyes and understandably was very distraught about her result (top photo).

Dr. Enzer was able to get rid of the lumps (middle photo), and then give her a much better filler outcome (bottom photo). Note how the filler also improved her skin texture.

Individual Results May Vary